矯正歯科
歯並びと、全身の健康の関係
歯並びは見た目の綺麗さだけでなく、身体全体の機能にも
大きく影響してきます。
歯並びが悪いと、虫歯や歯周病になる可能性が高まるだけでなく、
噛み合わせが悪いと、体の姿勢にズレやゆがみが生じてきます。
肩こりや腰痛の原因となるだけでなく、内臓への負担も大きくなります。
歯並びを治すことで、心と身体の健康面の調和を
はかることにもつながります。
当院では、月に一度、専門科医(日本矯正歯科学会認定医)による
矯正治療を行っています。
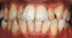
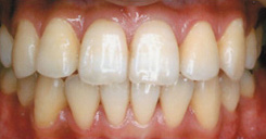
治療における変化
治療前

治療後

